
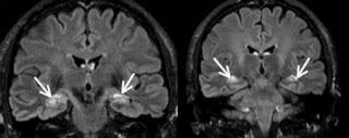
Encéphalite limbique: IRM pondérée en séquence Flair. Coupes coronales retrouvant des hypersignaux bitemporaux (flèches blanches). In La revue de médecine interne Volume 32, Issue 12, December 2011, Pages 742 - 750
Source: http://www.sciencedirect.com/science/article/pii/S0248866311004930
L’encéphalite à anticorps anti-R-NMDA (NMDAR) est un trouble d’origine auto-immune, pour lequel l’utilisation de l’immunothérapie et les résultats de ce traitement à long terme n’ont pas encore été décrits. Notre but était de d’étudier l’étiologie de la maladie, l’éventail des symptômes observés, les différentes protocoles d’immunothérapie appliqués, la chronologie de l’amélioration de l’état des patients ainsi que les résultats à long terme.
Dans cette étude d’observation multi-institutionnelle, nous avons effectué des tests de détection de la présence d’anticorps NMDAR dans le sérum et les échantillons de liquide cérébrospinal chez des patients atteints d’encéphalite, entre le 1er janvier 2007 et le 1er janvier 2012. Tous les patients positifs aux anticorps NMDAR ont été inclus dans l’étude ; les patients ont été pris en charge dès l’apparition des symptômes aux mois 4, 8, 12, 18 et 24, mesurés à l’aide de l’échelle de Rankin modifiée (mRS). Le traitement comprenait immunothérapie de première intention (stéroïdes, immunoglobulines administrées par voie intraveineuse, plasmaphérèse), immunothérapie de deuxième intention (rituximab, cyclophosphamide), ainsi qu’ablation de tumeur. Les facteurs déterminants les résultats étaient définis aux Universités de Pennsylvanie (PA, USA) et de Barcelone (Espagne) à l’aide d’un modèle linéaire généralisé avec distribution binaire.
Nous avons recruté 577 patients (âge médian 21 ans [8 mois – 85 ans]), 211 d’entre eux étaient des enfants (<18 ans). Les effets des traitements et les résultats ont été évalués chez 501 patients (durée médiane de suivi 24 mois [4 mois – 186 mois]) ; 472 (94%) d’entre eux ont été soumis à une immunothérapie en première intention ou à ablation d’une tumeur, avec pour résultat une amélioration de l’état général dans les 4 semaines chez 251 (53%) d’entre eux. Des 221 patients n’ayant pas vu d’amélioration à la suite du traitement de première intention, 125 (57%) d’entre eux ont reçu un traitement d’immunothérapie de deuxième ligne, avec un meilleur résultat (mRS 0-2) que ceux ne recevant pas de traitement de deuxième intention (rapport de cotes [Odds Ratio -OR- ] 2,69 ; Intervalle de Confiance - IC – 1,24-5,80; p=0,012). Au cours des 24 premiers mois, 394 des 501 patients ont montré de bons résultats (mRS 0-2 ; médiane 6 mois, Intervalle Interquartile 2-12) et 30 sont morts. À 24 mois de suivi, 203 (81%) des 252 patients ont montré de bons résultats. Les résultats ont continué à s’améliorer sur une période allant jusqu’à 18 mois suivant l’apparition des symptômes. Les facteurs déterminant l’obtention de bons résultats étaient l’administration d’un traitement à un stade précoce (0,62 ; 0,50-0,76 ; p<0,0001) et le fait de ne pas être admis dans une unité de soins intensifs (0,12 ; 0,06-0,22 ; p<0,0001). 45 patients ont montré une ou plusieurs rechutes (représentant un risque de 12 % en 2 ans) ; 46 (67%) des 69 rechutes se sont révélées moins sévères que les épisodes initiaux (p<0,0001). Chez 177 enfants, les facteurs déterminants de bons résultats, ainsi que l’étendue des effets de l’administration d’une immunothérapie de deuxième intention étaient similaires à ceux de la cohorte entière.
La plupart des patients atteints d’encéphalite anti-NMDAR répondent à l’immunothérapie. L’immunothérapie de deuxième intention est généralement efficace quand les traitements de première intention ont échoué. Dans cette cohorte, la guérison de certains patients a pris jusqu’à 18 mois. Marten J Titulaer MD et al, in The Lancet Neurology, Early Online Publication, 3 January 2013
Financement: Dutch Cancer Society, the National Institute of Health, the McKnight Neuroscience of Brain Disorders award, The Fondo de Investigaciones Sanitarias, et Fundació la Marató de TV3
Source: The Lancet Online / Traduction et adaptation: NZ
